Innovative Imaging Solutions for Radiology
Enhancing accuracy and speed in radiology interpretation.
Neuroalign CT
FDA cleared and patented imaging software solution.
Transforming radiology with advanced imaging technology.
Precision imaging for better patient outcomes.
Advanced Imaging
Radiology Solutions
Innovating Medical Imaging Solutions
At Zepmed, we specialize in advanced imaging software that enhances radiology interpretation, ensuring faster and more accurate diagnoses for healthcare professionals.


>300,000 scans
Patented, FDA cleared Solutions
First panel original scans, second panel NeuroAlign images and third panel subtraction images (new minus old) showing enlarging SDH (upper image) and stable parenchymal hemorrhage (lower image).
Innovative Imaging Solutions
Enhancing radiology interpretation with advanced imaging software for faster, accurate diagnostics.
Save time, better reads.


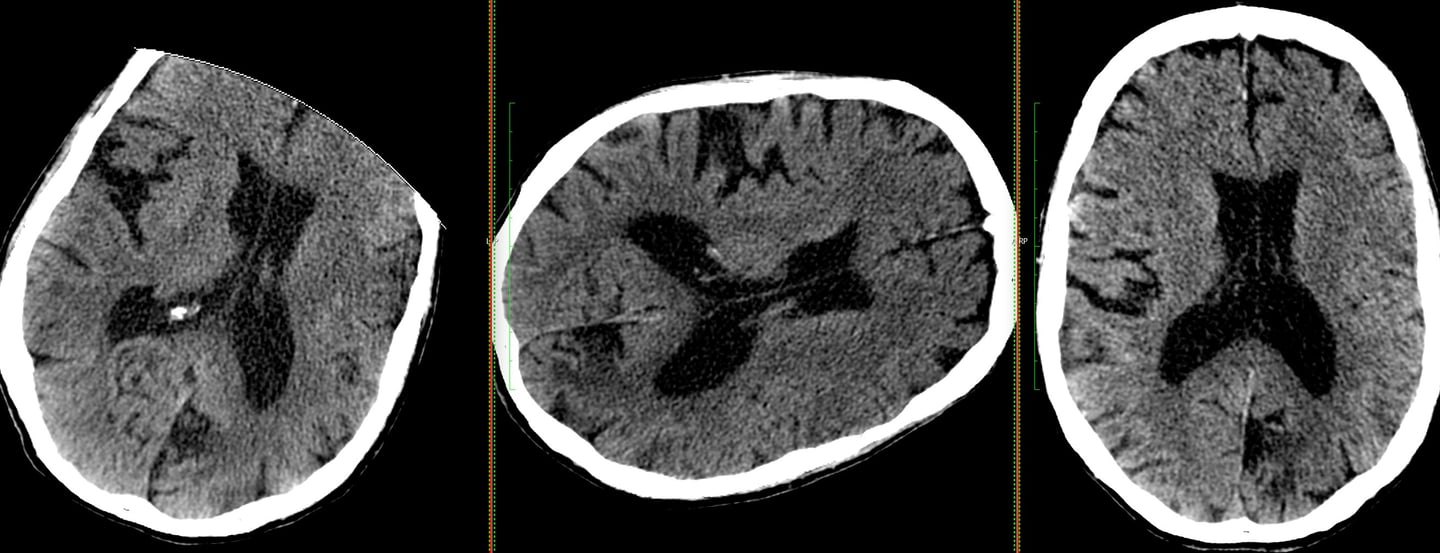
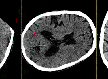
This 88 y.o. female was unable to fit into the scan circle due to severe kyphosis, so the tech put the patient on her side and scanned, allowing NeuroAlign to do the rest.
