About Zepmed
We design and build innovative imaging software solutions for faster, more accurate radiology interpretation. Our Team consists of:
Douglas Bates, MD, FACR.
Anders Dale, PhD.
Nate White, PhD.




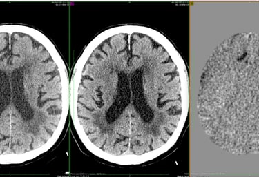
Images consisting of new, 6 month prior and subtraction imaging of the same plane in a patient with multiple falls. Other images showed a left parietal interval stroke. The right frontal interval stroke is easy to mischaracterize as a sulcus, but changes the expected source of underlying emboli from the left ICA to the heart or aorta, changing the diagnostic workup.
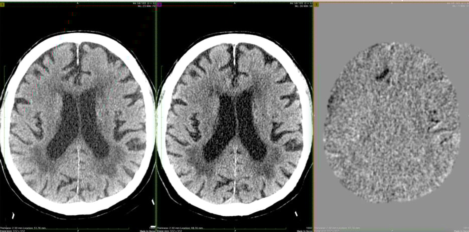
First panel original scans, second panel NeuroAlign images and third panel subtraction images (new minus old) showing enlarging SDH (upper image) and stable parenchymal hemorrhage (lower image).
Customer Feedback
See what our clients say about Zepmed's innovative imaging solutions.
Zepmed's software has revolutionized our radiology department, improving accuracy and efficiency significantly.
Dr. Smith
New York
The NeuroAlign CT has transformed our imaging process, making interpretations faster and more precise. We highly recommend Zepmed's solutions to any medical facility.
Dr. Jones
Los Angeles
